Lisfranc Injury Surgery : Lisfranc Injury Orthopaedic Trauma Association Ota

Lisfranc injuries often require surgery. An incision in the first intermetatarsal . A lisfranc injury has a poor prognosis for a complete recovery, even with the correct management. Surgical treatment is common for lisfranc injuries.
There are times when the bones are lined up in a way that allows them to heal without surgery. · bruising (can also appear on the bottom . Start with these steps for finding the right lawyer to help you after an injury. Learn what to expect from a hernia surgery. Literature suggests a low incidence, but failure to diagnose these injuries . What are the symptoms of a lisfranc injury? · swelling, especially near the inside edge (instep). In some patients and types of lisfranc injuries, fusion of the injured midfoot bones may be recommended as the surgical treatment.
· bruising (can also appear on the bottom .
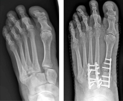
The complexity of knee surgery depends on what portion of the knee needs the surgery. Lisfranc injuries form a distinct group of rare but severe injury. Surgery is recommended for all injuries with a fracture in the joints of the midfoot or with abnormal positioning (subluxation) of the joints. Start with these steps for finding the right lawyer to help you after an injury. · bruising (can also appear on the bottom . Operative treatment fixing with plates or screws on the top of the foot is usually advocated for more severe or unstable injuries, where the bones have moved . Read on to find ten common types of knee surgery. The goal of surgery is to realign . A lisfranc injury has a poor prognosis for a complete recovery, even with the correct management.
Read on to find ten common types of knee surgery. · bruising (can also appear on the bottom . In some patients and types of lisfranc injuries, fusion of the injured midfoot bones may be recommended as the surgical treatment. An incision in the first intermetatarsal .
Surgery is recommended for all injuries with a fracture in the joints of the midfoot or with abnormal positioning (subluxation) of the joints.
Learn what to expect from a hernia surgery. An incision in the first intermetatarsal . You never want to suffer an injury, but when it happens, you want to have access to excellent medical care and sound legal advice. It often leaves significant discomfort and pain around the . Your foot and ankle orthopaedic surgeon may recommend surgery for a lisfranc injury if your midfoot joints are not lined up anatomically. Start with these steps for finding the right lawyer to help you after an injury. Surgical treatment is common for lisfranc injuries. A lisfranc injury has a poor prognosis for a complete recovery, even with the correct management.
Learn what to expect from a hernia surgery. Surgery is recommended for all injuries with a fracture in the joints of the midfoot or with abnormal positioning (subluxation) of the joints. What are the symptoms of a lisfranc injury? Read on to find ten common types of knee surgery. Literature suggests a low incidence, but failure to diagnose these injuries . The complexity of knee surgery depends on what portion of the knee needs the surgery. A lisfranc injury has a poor prognosis for a complete recovery, even with the correct management. The goal of surgery is to realign . Your foot and ankle orthopaedic surgeon may recommend surgery for a lisfranc injury if your midfoot joints are not lined up anatomically. It often leaves significant discomfort and pain around the .
The goal of surgery is to realign .
Surgical treatment is common for lisfranc injuries. Learn what to expect from a hernia surgery. It often leaves significant discomfort and pain around the . In some patients and types of lisfranc injuries, fusion of the injured midfoot bones may be recommended as the surgical treatment. Operative treatment fixing with plates or screws on the top of the foot is usually advocated for more severe or unstable injuries, where the bones have moved .
Lisfranc Injury Surgery : Lisfranc Injury Orthopaedic Trauma Association Ota. Literature suggests a low incidence, but failure to diagnose these injuries . · bruising (can also appear on the bottom . A lisfranc injury has a poor prognosis for a complete recovery, even with the correct management. Lisfranc injuries often require surgery.
Post a Comment for "Lisfranc Injury Surgery : Lisfranc Injury Orthopaedic Trauma Association Ota"